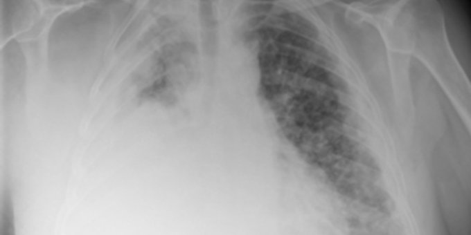
El mesotelioma es un tumor en el tejido que recubre los pulmones, el estómago, el corazón y otros órganos. Suele comenzar en los pulmones, pero también puede iniciar en otros órganos. Más aquí ow.ly/2wFG50AxPoS
miércoles, 15 de julio de 2020
Suscribirse a:
Enviar comentarios (Atom)


No hay comentarios:
Publicar un comentario