miércoles, 23 de octubre de 2019
Prevalence of metastases within the hypothalamic-pituitary area in patients with brain metastases | Radiation Oncology | Full Text
Prevalence of metastases within the hypothalamic-pituitary area in patients with brain metastases | Radiation Oncology | Full Text
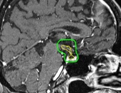
Cognitive impairment and fatigue are common side effects of whole brain irradiation (WBI) comprising the quality of life (QoL) for survivors. While the former is related to radiation-induced hippocampal injury, the latter could be secondary to hormonal disbalance as a consequence of radiation of the HT-P area. Thus, sparing both regions from higher irradiation doses could reduce these sequelae. In this article, Stefan Janssen et al. work to quantify the prevalence of brain metastases involving the hypothalamic-pituitary (HT-P) area.
Suscribirse a:
Enviar comentarios (Atom)


No hay comentarios:
Publicar un comentario