Report of the Month: Recurrent spontaneous pneumothoraces and vaping in an 18-year-old boy
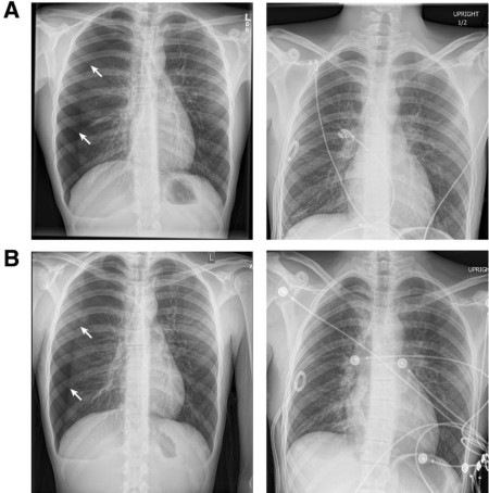
Primary spontaneous pneumothorax (PSP) is a common disorder occurring in young adults without underlying lung disease. Although tobacco smoking is a well-documented risk factor, an association between electronic cigarette use (that is, vaping) and PSP has not been noted. This report covers a case of an 18-year-old boy presented with recurrent right-sided spontaneous pneumothoraces twice in two weeks. He reported a history of vaping just prior to both episodes. (Bonilla et al., 2019)


No hay comentarios:
Publicar un comentario