Journal of Medical Case Reports | Home page
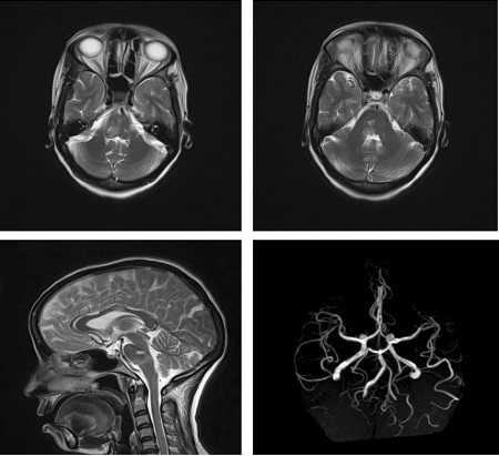
Adding to the list of named, numerical neuro-ophthalmological syndromes like one and half syndrome, this case report describes for the first time “Twenty and Half syndrome”, characterised by one and a half syndrome with bilateral seventh and right fifth nerve palsy (11 / 2 + 7 + 7 + 5 = 20½) in a patient with ischaemic stroke (Dube et al., 2019).
Articles
Authors:A. A. A. Uthuman, C. S. Jayasinghe and A. H. N. Fernando
Authors:Deborah Mukherji, Sarah Abdel Massih, Arafat Tfayli, Mariam Kanso and Walid Faraj
Authors:Ryota Urata, Tetsuya Nomura, Yusuke Hori, Kenichi Yoshioka, Hiroshi Kubota, Daisuke Miyawaki, Takeshi Sugimoto, Masakazu Kikai, Natsuya Keira and Tetsuya Tatsumi
Authors:Dan Han, Yan Ji and Hui Tan
Authors:Shohei Kaneko, Eri Watanabe, Mai Abe, Shinji Watanabe, Hiroki Yabe, Shigehiro Kojima, Kenji Takagi, Keiji Hirai, Yoshiyuki Morishita and Chihiro Terai
No hay comentarios:
Publicar un comentario