Featured article: genetic, hormonal and metabolic aspects of PCOS
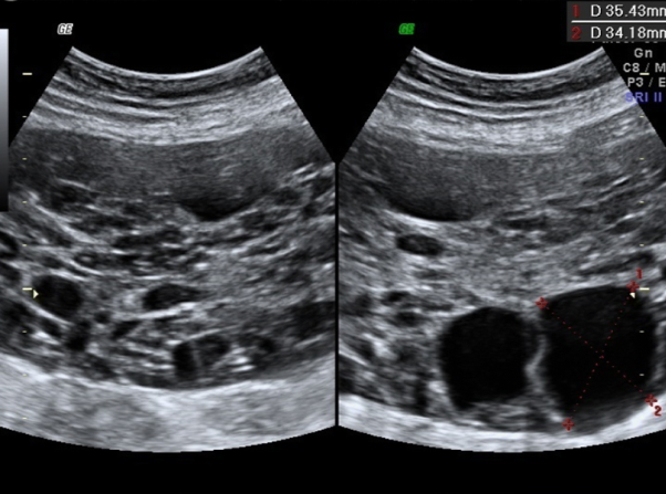
Maternal virilization during pregnancy is a rare phenomenon. Polycystic ovary syndrome (PCOS), luteoma and luteinic cysts are the most frequent and benign etiologies. This article presents two cases of recurrent maternal virilization during pregnancy.
Read the full article here.


No hay comentarios:
Publicar un comentario