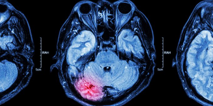
¿Sabías que es importante tratar los ataques cerebrales lo más rápido posible? Es por ello que conocer los signos de los accidentes cerebrales isquémicos es primordial. Conócelos aquí ow.ly/F4AS50AZqHI
lunes, 17 de agosto de 2020
Accidente cerebrovascular isquémico: MedlinePlus en español
Accidente cerebrovascular isquémico: MedlinePlus en español
¿Sabías que es importante tratar los ataques cerebrales lo más rápido posible? Es por ello que conocer los signos de los accidentes cerebrales isquémicos es primordial. Conócelos aquí ow.ly/F4AS50AZqHI
¿Sabías que es importante tratar los ataques cerebrales lo más rápido posible? Es por ello que conocer los signos de los accidentes cerebrales isquémicos es primordial. Conócelos aquí ow.ly/F4AS50AZqHI
Suscribirse a:
Enviar comentarios (Atom)


No hay comentarios:
Publicar un comentario