Intervenciones Robóticas Guiadas por Imágenes
- ¿Qué son las intervenciones robóticas guiadas por imágenes?
- ¿Cuáles son las ventajas de procedimientos mínimamente invasivos?
- ¿Cuáles son algunos ejemplos de intervenciones robóticas guiadas por imágenes y cómo se usan?
- ¿Qué están desarrollando los investigadores financiados por el NIBIB en el área de intervenciones robóticas guiadas por imágenes para mejorar la atención médica?
¿Qué son las intervenciones robóticas guiadas por imágenes?
Las intervenciones robóticas guiadas por imágenes son procedimientos médicos que integran tecnologías de robótica e imágenes sofisticadas, principalmente para realizar cirugías mínimamente invasivas. Este enfoque de tecnología integrada ofrece diferentes ventajas, tanto para los pacientes como para los médicos.
Imágenes: En los procedimientos guiados por imágenes, el cirujano se guía por imágenes de varias técnicas, incluyendo la resonancia magnética (RM) y el ultrasonido. Las imágenes también se pueden obtener usando cámaras diminutas adheridas a sondas que son lo suficientemente pequeñas para caber dentro de una incisión mínima. La cámara permite que se realice la cirugía utilizando una incisión mucho más pequeña que en una cirugía tradicional. Robótica: Las manos del cirujano y las herramientas quirúrgicas tradicionales son demasiado grandes para las incisiones pequeñas. En cambio, las herramientas robóticas delgadas, en forma de dedo, se utilizan para realizar la cirugía. El cirujano controla remotamente el movimiento de los “dedos” del robot por medio de un telemanipulador, el cual se puede controlar por medios hidráulicos, electrónicos, o mecánicos. Al observar la imagen en la pantalla, los cirujanos pueden dirigir las manos y dedos robóticos para efectuar los movimientos deseados.
Las herramientas robóticas también se pueden controlar por computadora. Una ventaja de un sistema computarizado es que un cirujano podría potencialmente realizar una cirugía desde cualquier parte del mundo. Este tipo de cirugía remota actualmente se encuentra en fase experimental. Los experimentos ilustran el potencial para salvar vidas en áreas remotas, particularmente cuando una operación delicada requiere de un cirujano especialmente capacitado que está en un lugar distante.Además, los doctores pueden usar las intervenciones robóticas guiadas por imágenes para localizar tumores con mayor precisión cuando realizan biopsias y tratamientos de radiación.
¿Cuáles son las ventajas de procedimientos mínimamente invasivos?
La cirugía mínimamente invasiva puede reducir el daño a los tejidos sanos circundantes y disminuir así la necesidad de medicamentos para el dolor y reducir el tiempo de recuperación de los pacientes. Para los cirujanos, las intervenciones robóticas guiadas por imágenes también tienen la ventaja de reducir la fatiga durante operaciones largas, permitiendo al cirujano realizar el procedimiento estando sentado.
¿Cuáles son algunos ejemplos de intervenciones robóticas guiadas por imágenes y cómo se usan?
Prostatectomia robótica: La extracción completa de la próstata se realiza a través de una serie de pequeñas incisiones, a diferencia de una sola incisión grande de 4 a 5 pulgadas como en la cirugía tradicional. Las pequeñas incisiones resultan en una recuperación postoperatoria más corta, menor cicatrización y un regreso más rápido a las actividades normales.
Técnicas de ablación para cánceres en etapa temprana: Los pacientes con cáncer de riñón en etapa temprana se pueden tratar con procedimientos mínimamente invasivos para destruir tumores pequeños. La crioablación utiliza el frío como fuente de energía para destruir los tumores. Los doctores utilizan imágenes de tomografía computarizada (TC) y ultrasonido para colocar una sonda, en forma de aguja, dentro de cada tumor renal. Una vez en posición, la punta de la sonda se súper-congela para encerrar el tumor en una bola de hielo. Ciclos alternos de congelación/descongelación matan las células del tumor. Otros métodos mínimamente invasivos para destruir cánceres de riñón en etapa temprana incluyen el calentamiento y la extracción quirúrgica de las células del tumor utilizando un dispositivo robótico. Muchos pacientes pueden volver a casa el mismo día y son capaces de realizar actividades normales dentro de varios días.
Ortopedia: Los procedimientos robóticos guiados por imágenes están mejorando la precisión y el resultado de varios procedimientos ortopédicos. Por ejemplo, las cirugías de reconstrucción parcial de rodilla se enfocan en localizar solamente las secciones dañadas de la articulación de la rodilla. Los cirujanos ortopedistas están combinando el uso de un brazo quirúrgico robótico y cámaras de fibra óptica en dichos procedimientos, lo que resulta en pacientes que retienen más de su tejido sano normal. Los procedimientos robóticos guiados por imágenes también mejoran los reemplazos totales de rodilla, permitiendo una alineación y colocación precisa de los implantes de rodilla. El resultado es una función más natural de la rodilla, mejor rango de movimiento y un mayor equilibrio para los pacientes.
¿Qué están desarrollando los investigadores financiados por el NIBIB en el área de intervenciones robóticas guiadas por imágenes para mejorar la atención médica?
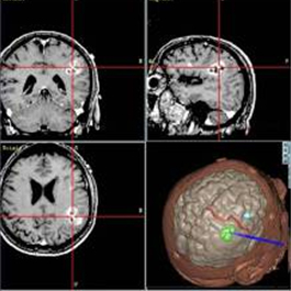
Un robot miniatura atraviesa el cerebro para extirpar tumores: Los investigadores apoyados por el NIBIB han desarrollado un Robot Neuroquirúrgico Intracraneal Mínimamente Invasivo (MINIR, por sus siglas en inglés) para la extracción de tumores cerebrales. Basado en lecciones aprendidas a partir del prototipo original, el MINIR-II mejorado está bajo el control directo del médico, utilizando imágenes obtenidas por sensores de resonancia magnética (RM) incrustados en el robot. Características adicionales integradas en el robot incluyen capacidades de irrigación, succión y extracción de tumores. El uso de la resonancia magnética permitirá el desarrollo de un sistema de rastreo y navegación que mejora la visión del cirujano, de las estructuras cercanas y distantes dentro del cerebro, para la localización y extracción precisa el tumor. El robot también será un dispositivo desechable, de un solo uso. Los investigadores esperan iniciar estudios clínicos con el MINIR-II en varios años.
La resonancia magnética guía herramientas quirúrgicas (negro) a un coágulo de sangre (color)
Un sistema remoto avanzado para biopsias de tumor de seno y ablación: Los investigadores apoyados por el NIBIB están combinando tecnologías avanzadas para biopsias de tumores de seno y la ablación de tumores. Las imágenes de seno se obtienen mediante resonancia magnética, que tiene una capacidad superior para obtener imágenes de tejidos blandos. Un brazo robótico operado remotamente guía la inserción de la aguja para obtener una biopsia y para la ablación del tumor. El dispositivo envía constantemente retroalimentación táctil de alta sensibilidad al cirujano que opera el brazo robótico, lo que permite una inserción precisa de la aguja y reduce el daño al tejido sano circundante. El sistema mejorado usará ablación por radiofrecuencia (RF) para destruir tumores. Las ondas de radiofrecuencia que pasan a través de la aguja insertada rápidamente calientan y destruyen el tumor. Debido a que las ondas de radio no estimulan los nervios circundantes, se puede realizar la RF sin necesidad de una anestesia general. El nuevo sistema proporciona una mayor precisión, menos daño a los tejidos sanos circundantes y menos molestias para las muchas mujeres que deben someterse a estos procedimientos.
Descargar PDF
Intervenciones Robóticas Guiadas por Imágenes.pdf


No hay comentarios:
Publicar un comentario