SALUD
El colmo de las enfermedades raras: son pocos hasta para montar ensayos
Un estudio del primer fármaco para el liposarcoma necesita reclutar 30 personas
Madrid

Es el colmo de las enfermedades raras: como son las que afectan a muy pocas personas (una cada 2.000, como mucho), no interesan económicamente a los laboratorios, que deben invertir lo mismo que encontrarles un tratamiento que para una dolencia que afectara a millones de personas; como son tan poco frecuentes, a los médicos les cuesta detectarlas. Y, cuando ya está identificada y hay una farmacéutica que prepara un tratamiento, es difícil reunir a los voluntarios que deben participar en los ensayos. Es la paradoja en que se encuentran ahora mismo los afectados por liposarcoma, un cáncer muy poco habitual de la grasa (unos 100 casos al año en España). El Hospital Puerta de Hierro quiere participar en el ensayo de un tratamiento, pero no encuentra a los voluntarios.
"En la Asociación Española de Afectados de Sarcoma [AEAS], solo tenemos identificados a otros tres afectados aparte de mí mismo", dice Pedro Gómez, un albaceteño de 59 años. Y él, a quien le diagnosticaron la enfermedad en 2008, no reúne las características para participar en el ensayo. "Mi tumor aún no está diferenciado", explica. "Esto quiere decir que aun cuando reaparece –y ya llevo siete recidivas–, el sarcoma aún se parece mucho al tejido graso. ¡Ojalá pudiera apuntarme al ensayo!", afirma.
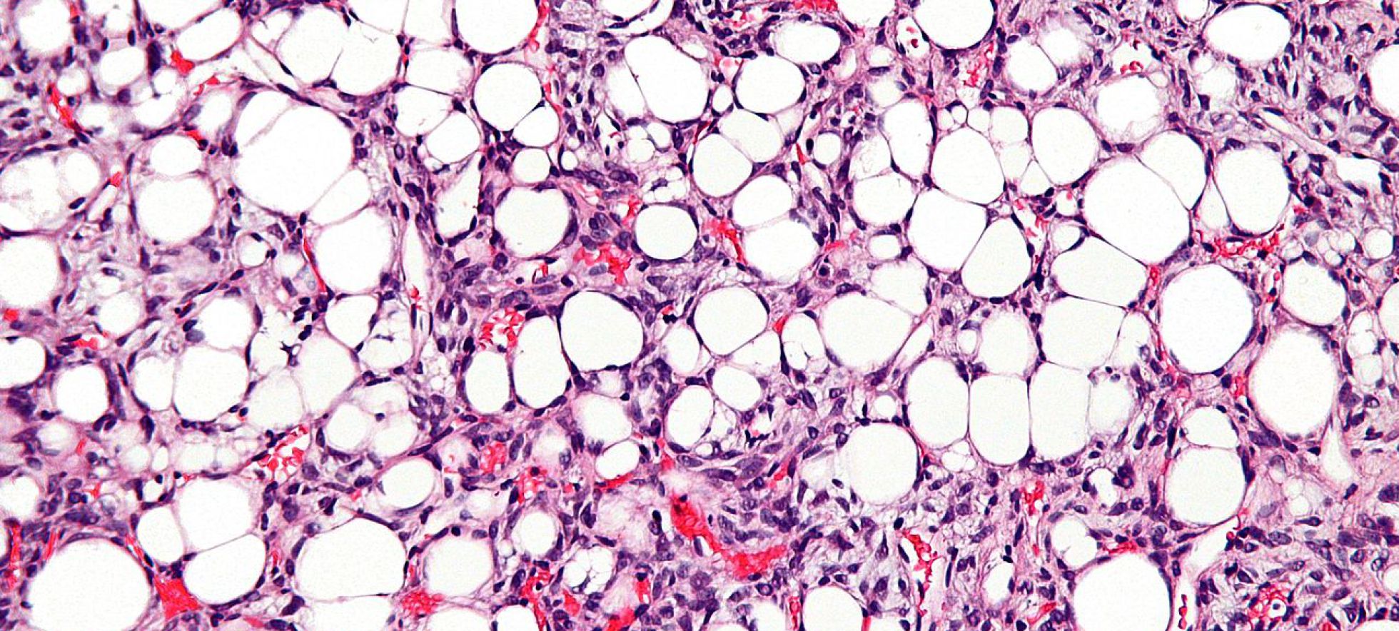
"Solo son candidatos quienes ya hayan recibido algún tratamiento y hayan fracasado", añade Ramón Cubedo, el médico del hospital que quiere entrar en ese ensayo mundial para el que buscan, en todo el mundo, a 30 afectados. El liposarcoma es un cáncer de la grasa que está entre las fibras musculares –"como las vetas del jamón", explica el médico– o en otros acúmulos. A Gómez, por ejemplo, le apareció en la zona retroperitoneal, "donde los riñones". "Me sentía cansado, y no encontraban por qué. Al final me quitaron una masa de grasa de más de 10 kilos", relata. "No se sabe cuándo empezó. A veces va muy deprisa, y, a veces, muy despacio", indica. Esa fue su primera operación. En la segunda, la masa tumoral le desplazó un riñón, y hubo que extirpárselo.
Su caso es raro. Lo normal es que el sarcoma aparezca en los músculos de las extremidades o en la grasa de debajo de la piel, y ahí enseguida se ve. "Lo más peligroso es cuando se desplaza a los pulmones. Muchos mueren por insuficiencia respiratoria", afirma Cubedo.
La causa de la enfermedad es genética. Al menos, se han identificado dos mutaciones asociadas. "Son el crimen perfecto", ejemplifica el médico: "Una confiere a las células la capacidad de multiplicarse de manera infinita; la otra, la de la inmortalidad". A paliar su efecto va el medicamento desarrollado por Novartis. Ese que necesita voluntarios para comprobar si funciona.



No hay comentarios:
Publicar un comentario